約11年前近所の公園でボロボロの生まれて間もないネコを息子1号が拾ってきた
瞼がくっついて耳は真っ黒でゲソゲソに痩せてダニだらけで動けないネコ
よく見つけてきたもんだと思った
何とかしてと言われたから、動物病院行って診てもらった
後1日遅かったら死んでたね ってぐらいの状態
そこから11年
目は目やに
耳は中耳炎
鼻はグズグズ
体重は7kg
動きはゆっくりだけど元気ではある 名前リー 雄
が二月からフラフラになりやすくなりおかしいと思って病院に連れて行ったけどとりあえず耳の状態が悪いから抗生物質投与開始で少し落ち着くけど薬止めるとまたフラフラになるから
原因追及するならMRI撮りましょうと
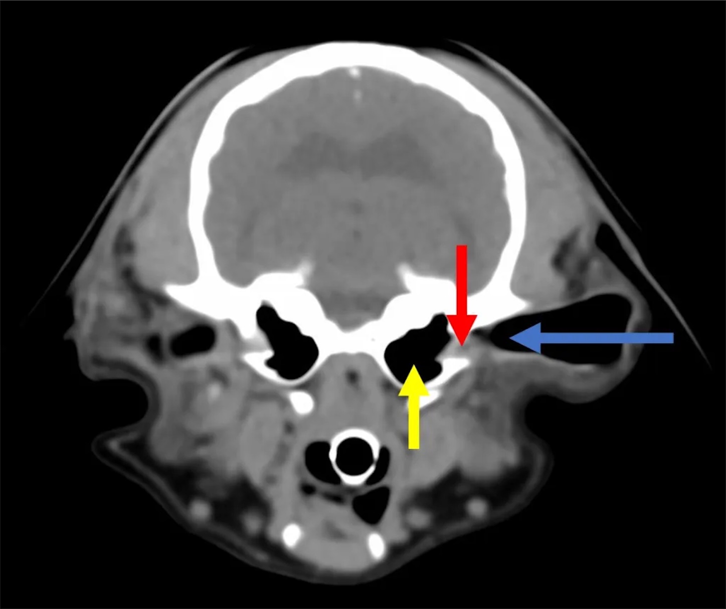
全身麻酔で撮ってもらった結果
耳の鼓膜の奥の鼓室包黄色い矢印 にばい菌が溜まり神経を
イタズラしているから
眼球が横にグラグラゆれ
首は右に固り動かない
眼球揺れるからフラフラする

結果
ホルネル症候群 発症
鼓膜無くなってたから チューブ入れて鼓室包の膿を抽出 消毒
後は抗生物質投与で様子見
今回のMRI 高額なんでせっかくだから全身やってもらった
脳みそ 脊髄 骨 内臓 は全く元気
縁あって家にきたからやれる事はやるから元気でいて欲しい
良かった